
đ Vous pouvez cliquer sur l'image pour agrandir
Le cycle de l'azote est un processus essentiel dans l'aquarium.
Il décrit la succession des modifications d'état de l'azote dans l'eau.
Ce qui suit le détaille étape par étape.
1ère Etape : L'Ammonification
đ Vous pouvez cliquer sur l'image pour agrandir
Azote en cavale

Si les êtres vivants libèrent un peu d’azote en temps normal, c'est une fois mort qu'ils en libèrent beaucoup !
Les organismes détritivores et décomposeurs jouent un grand rôle dans cette dégradation/transformation de la matière morte.

Détritivores VS Décomposeurs
đ Vous pouvez cliquer sur l'image pour agrandir
Les détritivores
C'est pourquoi ils jouent un rôle essentiel dans le maintient de la bonne santé de l’aquarium !
Quelques exemples de détritivores
đ Vous pouvez cliquer sur l'image pour agrandir
Les décomposeurs
Entretenir régulièrement la filtration mécanique permet de limiter leur nombre (faire baisser la "pression microbienne") et limite le risque d'apparition d'une maladie.
Quelques exemples de décomposeurs :
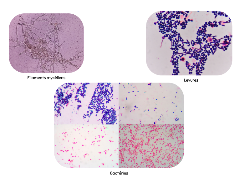
Protozoaires
Bactéries
đ Vous pouvez cliquer sur l'image pour agrandir
L'Ammonification c'est aussi ...

et d'abord alimentaire...
Beaucoup de poissons sont omnivores et assez opportunistes.
Dans tout les cas leur alimentation contient beaucoup d'azote (souvent plus de 30% de protéines).

Parfois une histoire de non digestion...
Une partie des protéines alimentaire (qui contiennent de l’azote) n’est pas digérée ...
Pas besoin d’un dessin pour savoir ce qui se passe après …đ©

d'autres fois de non assimilation
Le foie se charge de l’excédent d’azote (N) en le transformant :
- 90% du N évacué via les branchies sous forme de NHâ/NHââș ;
- 10% du N évacué via l’urine sous forme d’urée ;
On observera un pic d’excrétion d’azote 6h après la prise alimentaire !
đ Vous pouvez agrandir grâce aux flèches double en haut à droite du diaporama
2ème Etape : La Nitrification
đ Vous pouvez cliquer sur l'image pour agrandir
Nitrosation
Le genre bactérien principalement responsable de la Nitrosation est Nitrosomonas. D'autre genre sont parfois impliqués mais plus minoritairement comme Nitrosococcus, Nitrosospira, Nitrosolobus et Nitrosovibrio.
(Winogradsky 1892, Watson et al. 1989, Koops et al. 1991)
Les Nitrosomonas oxydent le NHâ en présence d'oxygène selon la formule suivante :
NHâ + Oâ → NOââ» + 3Hâș + 2eâ»
đ Vous pouvez cliquer sur l'image pour agrandir
Nitratation
Le genre bactérien principalement responsable de la Nitratation est Nitrospira. D'autre genre sont parfois impliqués mais plus minoritairement comme Nitrococcus et Nitrospina
(Winogradsky 1892, Watson et al. 1989, Koops et al. 1991)
đ Vous pouvez cliquer sur l'image pour agrandir
Conclusion:
Et Nitrobacter dans tout ça ?
Découverte récente :
Bartelme et al 2017,Freshwater recirculating aquaculture system operations drive biofilter bacterial community shifts around a stable nitrifying consortium of ammonia-oxidizing archaea and comammox Nitrospira)

đ Vous pouvez cliquer sur l'image pour agrandir
3ème Etape : La Dénitratation
đ Vous pouvez cliquer sur l'image pour agrandir
Habituellement
- Les plantes permettent de limiter la production de NOââ» par assimilation du NHâ et elles sont aussi capable de consommer directement le NOââ».
- le NOââ» est bien soluble dans l’eau, un changement d’eau permet une dilution de ce dernier.
- le taux de NOââ»est d’ailleurs un bon indicateur d’entretien:
Si le NOââ» à tendance à augmenter, (et que l'eau utilisée n'en contient pas...) les changements d’eau effectués ne sont sans doute pas suffisants (revoir quantité, fréquence ...).
- Enfin, il existe aussi des résines qui absorbent spécifiquement les nitrates !
et la "respiration Nitrate" dans certains cas:
- La “respiration Nitrate” se produit en absence d’Oxygène. (Il s'agit d'un processus de respiration anaérobie, où l'accepteur final des électrons est le (Nâ))
- Les Nitrates sont transformés successivement en NOââ» puis NO, NâO et enfin Diazote (Nâ) qui est un gaz volatile. C'est d'ailleurs le principal constituant de l'air.
- Dans certaines conditions le phénomène peut être incomplet et la dénitratation être arrêtée à différents stades.
đ Vous pouvez cliquer sur l'image pour agrandir
Ajouter un commentaire
Commentaires